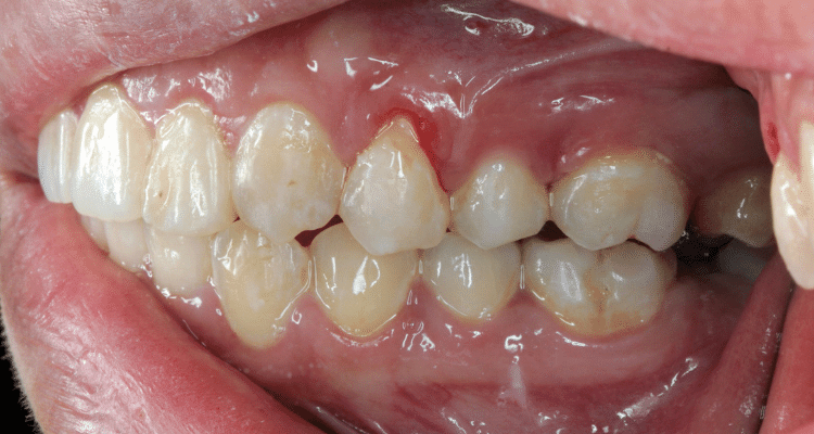
Birçok insanın karşılaştığı diş eti çekilmesi problemi aslında insanlar arasında sık görülen bir durumdur. Dişi veya diş kökünü açığa çıkartarak diş etinin geri çekilmesidir. Diş eti çekilmesi nedeniyle dişler ve diş eti çizgisi arasında boşluklar oluşur. Bu boşluklara ise hastalığa neden olabilecek çeşitli bakteriler kolayca yer edinebilir.
Tedavi edilmediği sürece, dişleri destekleyen doku ve kemik yapıları ciddi şekilde hasar görebilir. Bunun sonucunda ise diş kaybı gerçekleşebilir. Bu yazımızda konu hakkında bilmeniz gereken tüm detayları sizler ile paylaşacağız.
Diş Eti Çekilmesi Yaşadığınızı Nasıl Anlarsınız?
Hastalığın ilk belirtisi genellikle dişlerde hissedilen hassasiyettir.
- Şişmiş veya kabarık diş etleri
- Parlak kırmızı, koyu kırmızı veya morumsu diş etleri
- Ağız kokusu
- Ağrılı çiğneme
- Dişler arasında oluşan boşluklar
- Dişler ve diş etleriniz arasına boşluk
- Dişlerin daha uzun görünmesi
- Diş fırçalarken veya diş ipi kullanırken kanama
- Hassas olan diş etleri
- Gevşek dişler veya diş kaybı
- Isırdığınızda dişlerinizin birbirine uyma biçiminde değişiklik olması
Her ne kadar diş eti çekilmesinin her yaşta görülebileceği söylense de hastanın yaşı, diş eti çekilmesinde bir risk faktörü olarak görülür. 65 yaşından büyük kişilerin yaklaşık %88’inde en az bir dişte, diş eti çekilmesi bulunur. Sigara içen ve tütün ürünlerini kullanan kişilerde de bu risk daha fazladır. Bunun yanı sıra ailede bu hastalık öyküsü varsa dikkatli olmanız gerekir. Genetik, diş eti çekilmesinde önemli bir faktördür. Ayrıca diyabet de diş eti çekilme riskini artırabilen kronik bir hastalıktır.
Diş Etleri Tamamen Çekilirse Ne Olur?
Diş eti çekilmesi sonucunda dişler ve diş eti çizgisi arasında boşluklar oluşmaktadır. Bu boşluklara, birçok hastalığa sebep olabilecek bakteriler kolayca yer edinebilir. Tedavi edilmediği sürece, dişleri destekleyen doku ve kemik yapıları ciddi oranda hasar görür ve diş kaybı gerçekleşebilir. Bu nedenle probleminiz daha ilerlemeden tedavi sürecine başlamanız son derece önemlidir.

Diş Eti Çekilmesi Kendiliğinden Düzelir Mi?
Başlangıç aşamasında ise diş hekimi tarafından bölge temizlenilerek yapılır. Temizleme sırasında, diş eti çizgisinin altındaki dişlerde ve kök yüzeylerinde oluşan plak ile tartar dikkatlice temizlenir. Diş hekiminiz gerekli görürse, kalan zararlı bakterilerden kurtulmak için antibiyotik ilaç kullanmanız için reçete yazabilir.
Diş eti çekilmeniz, fazla kemik kaybı ve çok derin boşluklar nedeniyle derinlemesine temizlikle tedavi edilemeyecek kadar ileri düzeyde ise diş eti çekilmesinin neden olduğu hasarı onarmak için diş eti ameliyatı gerekebilir.
Dişlerin sıkılması, sağlıksız beslenme veya dişlerin günlük olarak bakımının yapılmaması durumlarında ortaya çıkan bir problemdir. Düzenli olarak dişlerin temizlenmesi, diş fırçalamadan önce diş ipi kullanılması, ağız hijyeni diş etinin çekilmesini önler. Fakat eğer diş çekilmesi ve diş eti sızlaması çok ileri bir seviyeye geldiyse bunun için cerrahi müdahale gerekir.
Diş Eti Çekilmesi Tedavisi Zor Mudur?
Tedavisi için problemin hangi düzeye ulaştığı önemli rol oynamaktadır. Bu nedenle diş eti çekilmesinin belirtilerini yaşadığınız tedavi sürecine başlamanız oldukça önemlidir.
Eray Şahinsev Diş Polikliniği olarak, Estetik ve Dijital Diş Hekimliği alanında uzman hekimlerimiz ile sizlere hizmet vermek en temel amacımız. İlk muayene, sizinle tanıştığımız ve tedavi planının büyük bir kısmının oluşturulduğu önemli seanslardan biridir. Bu seansta sizinle genel sağlığınız ve ağız sağlığınızla ilgili bilgiler değerlendirir ve tedavi planını buna göre oluştururuz. Hizmetlerimiz hakkında detaylı bilgi için bizimle iletişime geçebilir veya web sitemizi ziyaret edebilirsiniz.